


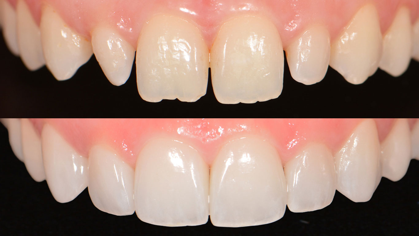
Zubne ljuskice prvi su izbor za trajnu promjenu boje i sjaja zuba, preoblikovanja ili produžavanja zuba, popunjavanje razmaka među zubima te ujednačavanje linije otkrhnutih zuba. Upravo su one zaslužne za ljepotu osmijeha brojnih holivudskih i ostalih filmskih diva i za njihov poseban sjaj na crvenom tepihu. Iako su postale standard u smile makeoveru, još uvijek se uz zubne ljuskice vežu neke zablude. Zato smo pozvali dr. Berislava Mostaraca, jednog od vodećih estetskih stomatologa i smile designera u Hrvatskoj, da nam pojasni što zubne ljuskice mogu napraviti za ljepotu osmijeha u praksi te koliko istine ima u mitovima koje ih prate:
“Ako su i vaši zubi, poput zuba naših brojnih pacijenata, oštećeni, nepravilno oblikovani ili jednostavno nedovoljno bijeli, keramičke ljuskice mogle bi biti idealno rješenje za vas”, navodi dr. Mostrac. “No”, nastavlja svoje izlaganje naš sugovornik, “i dalje primjećujem da se neki ljudi namršte već na samo spominjanje riječi ‘ljuskica’. Tijekom svoje dugogodišnje prakse u smile makeoveru, primijetio sam sljedećih pet zabluda u vezi ljuskicama za zube.”
Zabluda br. 1: Intenzivno brušenje zuba
Ljuskice nisu krunice koje zahtijevaju brušenje i oblikovanje sve četiri strane zuba. Zubne ljuskice se apliciraju samo na prednju stranu zuba. Izraz “minimalno invazivno” znači da je potrebno uistinu minimalno izbrusiti zub kako bi sama ljuskica dobro “sjela” i uklopila se u postojeći niz zuba.
Zabluda br. 2: Ugradnja je bolna
Kao i kod svih ostalih zubnih zahvata, zubne ljuskice ugrađuju se tek nakon što je pacijentu dobio lokalnu anesteziju. Tako je bilo kakva bol ili nelagoda eliminirana.
Zabluda br. 3: Ljuskice se ugrađuju samo na prednje zube
Najčešće da – stavljamo ih na one zube koji su najvidljiviji kada se smijemo (prednjih šest zuba). No, one također mogu biti korištene i za donje zube i premolarne zube (stražnji zubi).
Zabluda br. 4: Ljuskice imaju isključivo estetsku svrhu
Njihova primarna uloga je estetska, kako bi uljepšale kompletni osmijeh, no moguće ih je koristiti i za preoblikovanje ostalih zubi, kao što su kutnjaci (molar).
Zabluda br. 5: Ljuskice ne izgledaju prirodno
“Neprirodno bijele”, “vidljive i svima će biti jasno da se tu nešto radilo”. U rukama vještog dentalnog tehničara i doktora specijaliziranog za estetsku stomatologiju, ljuskice mogu biti prekrasno prilagođene da odgovaraju debljini, obliku i prirodnoj bijeloj nijansi postojećih zuba pacijenta.
“Ako se nadate uljepšavanju svog osmijeha na potpuno prirodan način, koji u potpunosti odgovara vašoj osobnosti i licu, upravo su zubne ljuskice idealna opcija. One se savršeno mogu ugraditi na vaše prirodne zube, mijenjajući njihovu veličinu, oblik i boju”, zaključuje dr. Mostarac.
Ako razmišljte o opcijama kako uljepšati svoj osmijeh, vjerojatno ste već razmatrali koje vam mogućnosti stoje na raspolaganju. Iako je bez pregleda kod estetskog stomatologa teško znati što bi bilo najbolje za vaše zube, odlična je ideja napraviti neko istraživanje prije toga. Ovo su parametri koji su bitni za procjenu estetskog stomatologa kojem namjeravate pokloniti svoje povjerenje:
– pregledajte internetske stranice svakog od stomatologa za kojeg ste dobili preporuku
– pogledajte fotografije samih radova – kako vam se čine?
– koje je edukacije/specijalizacije pohađao i na kojim sveučilištima (domaćim ili stranim)
– koliko dugo ima iskustva u estetskoj stomatologiji.
Tako ćete biti bolje informirani i samim time suzit ćete izbor za dogovor prvog termina pregleda, što je neophodan uvjet za savjet oko najboljeg plana terapije upravo za vas i vaš osmijeh.
Nadamo se da smo ovim istraživanjem pomogli u rješavanju nekih nedoumica u vezi ugradnje zubnih ljuskica. Ako imate još nekih pitanja ili nedoumica, dr. Berislav Mostarac poziva sve vas da mu se obratite na [email protected], www.premiumsmile.hr ili na broj telefona +385 95 387 5526. Također vas pozivamo da posjetite Instagram profil dr. Mostarca za informacije o dentalnom zdravlju koje dr. Mostarac prezentira na zanimljiv način.
Foto: Prostock-Studio/iStock/Getty Images Plus, PR











